Содержание статьи:
Физическое состояние женщины после родов меняется. Нередко вследствие подобных изменений возникают осложнения. Некоторые женщины жалуются на болезненные ощущения и дискомфорт в области таза и лобка.
Во время изменения положения, подъёма боль усиливается, проявляется отёчность возле лобка, утиная походка. Вышеописанные симптомы плохо отражаются на состоянии женщины и мешают наслаждаться приятными заботами. Вопрос того, почему возникают боли в тазу после родов и как их устранить, беспокоит многих новоиспечённых мам.
Основные причины болей в тазу после родов
Согласно статистическим данным более 50% женщин страдают от болезненных ощущений в области тазовых костей после рождения ребёнка. Боль возникает не только у пациенток с генетической предрасположенностью к заболеваниям костно-мышечного аппарата, но и у вполне здоровых женщин. Это объясняется тем, что будущие мамы ведут пассивный образ жизни, неправильно питаются, как следствие тазовые кости ослабевают.
Основные причины возникновения боли в тазу:
• Расхождение тазовых костей перед родами. Тазовые кости и копчик раздвигаются, чтобы освободить путь ребёнку во время родов. Беременных женщин интересует, за сколько времени до родов начинает болеть таз?. Врачи утверждают, что точных сроков не существует, у некоторых женщин это происходит задолго перед родами, а у других – перед рождением ребёнка. Сильная боль проявляется и во время возвращения костей в первоначальное положение.
• Дефицит кальция. Недостаток кальция возникает ещё во время вынашивания плода, после рождения ребёнка его запасы опустошаются. Как следствие, процесс восстановления после родов затягивается и сопровождается болью в области таза.
• Перенапряжение мышечно-связочного аппарата. Мышцы и связки беременной женщины чрезмерно напрягаются и растягиваются, из-за чего они не могут полноценно функционировать после родов. Кости принимают на себя часть нагрузки, как следствие, возникает боль.
• Размягчение связок тазовых костей. Из-за чрезмерной выработки релаксина (гормон успокаивающий роженицу) связки размягчаются и не могут нормально функционировать. Кости подвергаются ещё большей нагрузке, что проявляется болью.
• Травма таза при родах. Вследствие вывиха или перелома костей таза возникает сильная боль. Если роды проходили под анестезией, то врачи могут выявить травму не сразу, а это грозит неправильным сращением тканей и болевым синдромом.
Одна из наиболее распространенных причин возникновения боли в тазу – это симфизит.
Симфизит – основные сведения
Лобковый симфиз (сочленение) – это соединение лобковых костей волокнисто-хрящевым диском. Лонное сочленение размещается над влагалищем и перед мочевым пузырём. Волокнисто-хрящевая пластина – это, по сути, амортизатор, который смягчает нагрузку на кости.
Симфиз фиксируют прочные связки в верхней и нижней части сочленения, которые ограничивают движение костей. Костное соединение допускает минимальное отклонение лонных костей друг от друга.
Симфизит – это воспаление лонного сочленения. Довольно часто изменение и повреждение лобкового симфиза возникает в период вынашивания ребёнка и после его рождения.
При симфиолизе кости лобкового сочленения расходятся или увеличивается их подвижность.
Под разрывом симфиза понимают состояние, при котором двигательная активность невозможна на протяжении нескольких месяцев. В группе риска профессиональные спортсменки и женщины после родов.
Выделяют 3 степени тяжести симфизита:
1. Расхождение лобковых костей от 0.5 до 0.9 см.
2. Расхождение от 1 до 1.9 см.
3. Степень расхождения – 2 см.
При 2 и 3 степени симфизита женщине назначают кесарево сечение.
Симптомы симфизита во время беременности и после родов
Незначительное расхождение лонного сочленения – это нормальное явление, которое характерно для многих женщин в положении. Связки размягчаются, тазовые суставы становятся более подвижными, смягчается лобковый симфиз, это необходимо для облегчения прохождения плода по родовому каналу.
Однако при появлении определённых симптомов будущей маме следует насторожиться, в противном случае ситуация после родов может ухудшиться:
• болезненные ощущения в тазу, пояснице, лобке, усиливающиеся в ночное время или после разведения ног в стороны;
• расстройства сна из-за острой стреляющей или ноющей боли;
• при пальпации боль в области лобка усиливается;
• дискомфорт во время ходьбы, щёлканье в тазу, переваливающаяся походка, хромота;
• тяжело подниматься по ступенькам;
• беременная не в состоянии поднять прямые ноги, когда лежит на спине.
Вышеописанные симптомы могут проявиться после рождения ребёнка. Причин тому несколько: стремительные роды, крупный плод, анатомически узкий таз. Во время родов лобковое сочленение сильно растягивается, вплоть до разрыва, а на повреждённом участке возникает воспалительный процесс. По этой причине кости таза после родов болят.
Заболевания с похожей симптоматикой
Некоторые заболевания проявляются такими же симптомами, как и симфизит:
• Инфекционные болезни. Остиомиелит – это гнойная инфекция, которая поражает суставы при снижении иммунитета. Возбудитель недуга – золотистый стафилококк. Когда стафилококк размещается в лонном сочленении, появляется отёк, болезненность в области лобка, повышается температура. Схожие симптомы могут провоцировать туберкулёз и сифилис.
• Ишиас – это воспалительное поражение седалищного нерва. У будущей мамы, начиная с 13 недели беременности, повышается риск защемления нерва увеличенной маткой или плодом во время переворота. Воспалённый нерв провоцирует болевой синдром, которую легко спутать с симфизитом. Однако боль при ишиасе локализуется в задней части бедра и отдаёт в ногу, отёчность и боль в области лобка отсутствует. Ишиас может возникнуть и после рождения ребёнка при восстановлении первоначального положения костями таза.
• Тромбоз вен малого таза. Нередко данное заболевание возникает через 15 – 20 дней после рождения ребёнка. Женщина испытывает тупую боль в области таза, ноги отекают, возникает боль при ходьбе.
• Паховая или бедренная грыжа. Достаточно редко у женщин диагностируют грыжу, которая образуется в районе лобкового сочленения. Эта патология провоцирует болезненные ощущения и дискомфорт. После появления на свет малыша паховая грыжа самостоятельно исчезает.
• Свободная жидкость в малом тазу после родов. Этот симптом часто указывает на гинекологические патологии, внутрибрюшное кровоизлияние или онкологические образования в половых органах. Отличия от симфизита – обильные выделения, менструальные нарушения, повышение температуры.
При появлении вышеописанных симптомов следует обратиться к доктору, который установит диагноз и назначит грамотное лечение.
Причины возникновения симфизита
Точные причины возникновения симфизита до сих пор не известны. Многие врачи считают, что основная причина воспаления лонного сочленения – это повышение концентрации релаксина и дефицит кальция.
Релаксин – это половой гормон, который вырабатывают яичники и плацента. Именно это вещество способствует размягчению связок тазовых костей и раскрытию шейки матки при родах. Вследствие этих процессов растягивается лобковый симфиз и расширяется таз, чтобы плод мог пройти по родовому каналу. По этой причине болят кости перед родами.
После родов организм женщины восстанавливается, и боль исчезает. Этот процесс затягивается, если в организме женщины вырабатывалось слишком много релаксина или связки тазовых костей сильно растянулись.
Из-за дефицита кальция тазовые кости сильно размягчаются и теряют прочность в местах соединений. Как следствие, возникает симфизит во время беременности или после родов. Симптомы недостатка кальция: кровоточат дёсны, волосы тускнеют и ломаются, ногти становятся хрупкими, появляются судороги в икрах, миалгия и артралгия.
Симфизит или разрыв симфиза может возникнуть из-за стремительных или многочисленных родов, несоответствия таза роженицы и размеров плода или предшествующих травм таза.
Диагностические меры
Чтобы оценить степень расхождения лобковых костей используют следующие методы диагностики:
• УЗИ
• Рентгенография
• Компьютерная томография
• МРТ.
Это методы исследования позволяют определить степень растяжения лонного сочленения, направление смещения костей, исключить или подтвердить его разрыв. Кроме того, с помощью диагностических методов врачи контролируют восстановление тканей после разрыва.
Лечение симфизита
Вопрос о том, сколько времени после родов болят кости таза, беспокоит многих женщин. Точного ответа на этот вопрос не существует, организм каждой женщины индивидуален. По этой причине некоторые женщины мучаются с невыносимыми болями несколько месяцев, а другие способны нормально передвигаться в день после родов. Если вы относитесь к первой группе женщин, то лечение необходимо!
В первую очередь пациентки с симфизитом должны меньше двигаться, постоянно носить бандаж, который захватывает вертела бёдер. В особо тяжёлых случаях применяют костыли, трость или коляски.
Для купирования болезненных ощущений у беременной женщины используют парацетамол. После родов назначают нестероидные противовоспалительные препараты.
Кроме того, для устранения боли назначают короткоимпульсную электроанальгезию – это метод физиотерапии, который восстанавливает функции тканей после повреждения. Также применяют лёд или наружное тепло, выполняют массаж.
Важно комбинировать постельный режим с лечебной гимнастикой. Комплекс упражнений для каждой пациентки индивидуально подготовит остеопат. Важно строго следовать рекомендациям врача!
Чтобы вылечить симфизит в постродовой период используют кальцийсодержащие препараты. Также в состав витаминных комплексов должны входить элементы группы В.
К операции с применением металлических конструкций и наложением швов прибегают только в тех случаях, если все остальные методы были неэффективны. В таком случае женщина сможет передвигаться только через 3–4 месяца.
Теперь вы знаете, почему болит таз после родов. Независимо от причин следует внимательно наблюдать за своим состоянием ещё во время беременности и регулярно посещать врача. При появлении симптомов симфиза во время вынашивания ребёнка необходимо выявить степень расхождения лобкового сочленения. Если врач настаивает на родах с помощью кесарево сечения, то нужно послушаться совета специалиста. Потому что последствия могут быть плачевными.
Дата: 02.03.2017
Источник
Беременность – это особое состояние женщины, которое сопровождается изменениями гормонального фона. Все изменения направлены на адаптацию организма к вынашиванию ребенка и родам. Однако в связи с некоторыми особенностями организма женщины или в силу того, что концентрация гормонов увеличивается в несколько раз, возможно появление различных болезненных ощущений.
Такими являются тазовые и поясничные боли, возникающие у 25-50% беременных и женщин в послеродовом периоде. Наиболее часто им подвержены на последних месяцах вынашивания. Это связано с тем, что плод становится достаточно тяжелым, а концентрация некоторых гормонов в крови находится на максимуме.
Изменение гормонального фона беременной женщины
Важным моментом является то, что концентрация некоторых гормонов повышается, а других – снижается в разные периоды вынашивания. В связи с этим и изменяется выраженность их действия на плод и организм беременной.
[table id=149 /]
Влияние гормонов на хрящи и связки таза
Давайте разберемся, почему болят тазовые кости, поясница и крестец во время беременности и после родов? Является ли такая боль нормой после родов?
Физиологическое действие
Считается, что гормон релаксин ослабляет связки и способствует размягчению хрящей лонного и подвздошно-крестцового сочленений. Его концентрация нарастает в конце III триместра, тем самым происходит подготовка родовых путей. Под воздействие релаксина попадают хрящевой диск лонного сочленения, межкостные, дорсальные, вентральные крестцово-подвздошные связки аналогичного сочленения. Во время беременности и в первые дни после родов кости таза болят наиболее интенсивно, женщине может быть трудно лежать на боку и спине. Болевой синдром локализован в области крестца, поясницы, тазобедренного сустава. После родов состояние нормализуется в течение нескольких недель, болезненные ощущения утихают.
Чрезмерное действие
При повышенной концентрации гормона релаксина и его метаболитов в крови или при высокой чувствительности к нему, он может вызывать избыточное расслабление тазовых связок и хрящей. При патологическом расслаблении хряща лонного сочленения расходятся кости таза и возникает симфизит, а при поражении крестцово-подвздошного – сакроилеопатия.
Эти заболевания сопровождаются тем, что болят кости таза, крестца, копчика и область тазобедренного сустава. Боль умеренной или средней интенсивности, увеличивается при пальпации в области лобка и при вставании с кровати. Пациентки жалуются, что таз и его кости болят при походе в туалет. После отдыха болевые ощущения обычно проходят и обостряются при любой физической нагрузке.
Травмы во время родов
Повышенная активность релаксина, крупный плод, осложнения родовой деятельности могут привести к разрыву лонного сочленения или повреждению копчика. При разрыве лонного сочленения тазовые кости расходятся в этой области до 5-7 см и сразу после родов вызывают болезненные ощущения средней или высокой интенсивности. Боль обостряется при любых движениях, а в кровати после родов родильница находится в вынужденном положении – “позе лягушки”.
При травме копчика родильница почувствует боль, только когда становится на ноги или очень долго сидит, при акте дефекации. Боли интенсивные, тянущего характера, усиливаются при вставании из положения сидя, наклоне вперед, напряжении мышц тазового дна. Травма может сопровождаться искривлением осанки и позвоночника – анталгическая поза.
Как диагностировать патологические изменения
- Объективные данные.
Кроме сбора жалоб на боли в соответствующей области, изучения анамнеза, врач проводит осмотр и пальпацию, чтобы выяснить расстояние между костями таза, оценить функцию сочленений. Также при разрыве лонного сочленения или симфизите пациентка не сможет поднять ноги в разогнутом положении вверх лежа на твердой кушетке. Могут возникнуть затруднения при передвижении вверх по лестнице, изменение походки, что является диагностическими критериями для постановки данного диагноза.
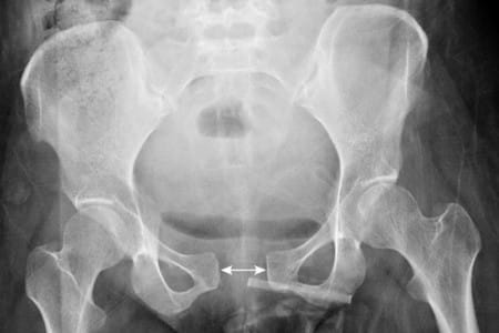
- Рентгенография.
Основным методом исследования, который является лакмусовой бумажкой в диагностике послеродовых травм и поражений связочного аппарата таза, остается рентгенография. Именно благодаря ей можно поставить такие диагнозы, как «симфизит», «разрыв сочленений», «перелом и вывих копчика», «сакроилеит».
По рентгенологическим данным выделяют 3 стадии, или степени тяжести, симфизита:
- I стадия – расстояние между тазовыми костями от 0,5 см до 1 см;
- II стадия – от 1 см до 1,9 см;
- III стадия – больше 2 см.
При увеличении расстояния более 2-3 см стоит задумываться о разрыве лонного сочленения.
Методы лечения
Лечение заболеваний, связанных с повреждением связочного аппарата таза после родов, направлено на создание благоприятных условий для заживления и укрепления окружающих связок. С этой целью родильницам назначают ортопедические подушки в виде буквы С, подушки для сидения в виде кольца (бублика), массаж, аквааэробику и плавание.
Хорошим помощником в лечении является бандаж, который обеспечивает быстрое и эффективное укрепление связок, восстановление функции опорно-двигательной системы, с одновременной ее разгрузкой. Носят бандаж на протяжении всего заболевания. Также существуют специальные корсеты, обеспечивающие неподвижность копчика и способствующие его излечению. Назначают также лекарства, которые направлены на снижение воспаления, купирование боли – парацетамол, ибупрофен, витамины группы В.
Своевременное обращение к врачу с жалобами, подробным анамнезом и характеристиками боли (где и как болит) позволяет на ранних этапах заболевания провести максимально эффективное лечение, является защитой от развития осложнений.
Источники:
- Акушерство / В.И. Дуда – г. Минск – 2013 г. – 576 стр.
- Акушерство и гинекология Т.1 / В.М. Запоражан – 2005 г. – 472 стр.
- Акушерство. Национальное пособие / Э.К. Айламазяна, В.И. Кулакова, В.Е. Радзинского, Г.М. Савельевой – 2009 г. – 1200 стр.
Похожие статьи:
Источник
Во время беременности организм женщины полностью перестраивается на то, чтобы выносить и родить ребенка. Меняется гормональный фон, растущая матка смещает внутренние органы. Костная система также настраивается на предстоящие роды: размягчаются связки, раздвигаются кости малого таза. Все это влияет на состояние нижнего отдела позвоночника и мышцы спины. Именно поэтому многие молодые мамы испытывают дискомфорт, даже боли в пояснице. Упражнения и бережное отношение к себе помогут восстановиться быстрее. Однако следует помнить, что некоторые состояния требуют лечения.
Причины, по которым болит спина
Причин, по которым у женщины болит поясница после родов, множество. Большинство из них связано с физиологической перестройкой организма во время беременности и подготовкой его к родам. Сказывается также и образ жизни до и после родоразрешения. Достаточно часто боли в спине носят и патологический характер.
Физиологические причины
Под действием гормона прогестерона связки и хрящевые ткани размягчаются, чтобы кости могли свободно разойтись, а плод благополучно прошел по родовым путям, не встретив препятствий. Иногда это приводит к тому, что позвонки еще во время беременности «проседают», защемляя нервные окончания. Обратный процесс схождения костей и восстановления хрящевой ткани достаточно длительный, доставляет дискомфорт, некоторые женщины испытывают болезненные ощущения.
Кроме этого, существуют и другие причины, почему болит поясница:
- В норме за беременность женщина набирает 10-13 килограмм. Это достаточно большой скачок в весе за 9 месяцев. Мышцы спины и живота растягиваются, позвоночник испытывает дополнительную нагрузку. После родов мышцы постепенно восстанавливаются, позвоночный столб возвращается в прежнее положение, и дискомфорт уходит.
- Осанка будущей мамы меняется. Женщина держит спину, отклоняясь назад и вверх, что приводит к перенапряжению мышц спины, повышению нагрузки на поясничный отдел позвоночника и боли в этой области.
- В процессе самих родов соотношение тазовых костей претерпевает значительные изменения, чтобы облегчить прохождение ребенка через родовые пути. Так, лонные кости и тазобедренные суставы расходятся, копчик отклоняется назад. Прежнее положение они принимают не сразу. Процесс восстановления нередко сопровождается болевыми ощущениями.
- После родоразрешения распределение нагрузки на позвоночник снова меняется, и происходит это резко. Чтобы «привыкнуть» к прежнему положению, мышцам спины и позвоночному столбу приходится напрягаться, от чего и болит спина.
- Нередко запоры, которые являются частыми спутниками недавно родивших женщин, становятся причиной болей в пояснице. При налаживании стула проходит и дискомфорт.
Спустя 1-2 месяца после родов организм женщины восстанавливается, суставы возвращаются на прежнее место, мышцы и связки приходят в норму, боли постепенно проходят. В этот период важно следить за своей осанкой, не напрягать спину. Как только появляется дискомфорт в области поясницы, грозящий перерасти в боль, лучше все оставить и немного отдохнуть.
Видео: Доктор Шперлинг о причинах, по которым болит спина после родов

Патологические причины
При появлении болей в спине не стоит ждать, когда они пройдут сами. Лучше сразу же посетить врача, который установит истинную причину их происхождения. Нередко после родов поясница болит из-за какого-либо заболевания:
- травмы и ушибы позвоночника, полученные до беременности и не беспокоившие долгое время, часто обостряются после рождения ребенка;
- обострение сколиоза или остеохондроза, к которому привел процесс родов;
- межпозвоночные грыжи и воспаления в поясничном отделе позвоночника;
- смещение позвонков во время родов, защемление нервных окончаний, сдавливание сосудов;
- введение эпидуральной анестезии;
- заболевания других органов: кишечника, мочеполовой системы, при которых боли отдают в поясницу;
- обострившиеся болезни почек.
Нередко боль в пояснице становится следствием психо-соматических проблем, которые часто возникают после родов. На общее состояние женщины, в том числе и на появление болей в области поясницы влияет послеродовая депрессия. В этом случае необходимо обратиться к психологу.
Как предотвратить появление болей в спине
Профилактика начинается еще при беременности. Уже в это время нужно выполнять упражнения, направленные на укрепление мышц спины. Следует избегать появления лишних килограммов, при необходимости соблюдать специальную диету. В третьем триместре нельзя перенапрягаться, ведь именно в это время происходит подготовка к родам, велик риск «проседания» позвонков, защемления нервных окончаний.
После рождения малыша соблюдение простых правил поможет избежать осложнений:
- При поднятии тяжестей нельзя нагибаться. Следует брать предметы из положения сидя. В этом случае нагрузка будет правильно распределена, не придется только на спину.
- В уходе за ребенком нужно обеспечить спине максимум комфорта. Так, кроватку, ванночку для купания, пеленальный столик следует подогнать под свой рост, чтобы не нагибаться лишний раз.
- Первые 1-2 месяца после родов спать желательно на жесткой кровати. Неплохо, если и впоследствии это войдет в привычку, ведь жесткая кровать – лучший вариант для здоровья спины.
- Следует помнить, что лишний вес – это дополнительная нагрузка на позвоночник. Правильно подобранная диета поможет сбросить лишние килограммы, набранные при беременности.
- В первые месяцы после рождения многим мамам приходится подолгу носить ребенка на руках. Лучше воспользоваться слингом, который не просто облегчит процесс, но и станет хорошей поддержкой для мышц спины.
- При кормлении малыша (не важно, грудью или из бутылочки) следует выбирать удобное положение, чтобы спина не испытывала дополнительную нагрузку, не уставала. Для этого подойдет мягкое кресло, под спину в области поясницы можно подложить валик. Многие женщины замечают, что кормление грудью в положении лежа вовсе не доставляет дискомфорта.
- Полезными и для мамы, и для малыша станут прогулки на свежем воздухе. Движение тонизирует мышцы, способствует их скорейшему восстановлению. Для этого совсем не обязателен бег. Спокойная прогулка с коляской по парку или скверу не только поможет снять напряжение, но и улучшит настроение.
Если болит спина, необходимо пересмотреть свой режим и привычки. Часто мамы носят малыша в буквальном смысле на животе, выпячивая его вперед. Такая привычка сформировалась во время беременности и кажется удобной. На самом деле, это вредная привычка. Поясничный отдел позвоночника сильно прогибается вперед, мышцы спины, итак натруженные во время беременности, испытывают дополнительную нагрузку, перенапрягаются, женщина испытывает боль в пояснице. Такое положение ведет к искривлению позвоночника, смещению позвонков, защемлению нервных окончаний, появлению межпозвоночных грыж.
Видео: Упражнения, помогающие снять боли в пояснице
Что предпринять при появлении боли
Нужно помнить, что таблетки и мази приносят лишь временный эффект, снимая боль, но не устраняя ее причину. А это значит, что болевые ощущения будут возвращаться каждый раз, как закончится действие препарата. Кроме того, лекарственные средства нельзя применять, если женщина после родов кормит ребенка грудью.
Если причина боли в пояснице не связана с заболеванием, необходимо, прежде всего, уделить внимание скорейшему восстановлению опорно-двигательного аппарата. Сразу после родов желательно носить специальный корсет, чтобы помочь мышцам спины и позвоночнику принять правильное положение. Укрепить и восстановить мышцы поможет лечебная гимнастика, которую желательно проводить еще во время беременности с целью профилактики и на протяжении 1-2 месяцев после рождения ребенка.
Чтобы облегчить боль, врачи, как правило, назначают физиотерапию и массаж, направленные на то, чтобы восстановить кровоснабжение и укрепить мышцы спины, вернуть позвоночнику правильное положение. Неплохо справляются с болью в пояснице аппликаторы (например, аппликатор Ляпко или аппликатор Кузнецова), действие которых направлено на улучшение микроциркуляции в тканях.
Видео: Принцип действия аппликатора Кузнецова в программе «Жить здорово». Как пользоваться аппликатором.

21 августа 2016
Анна Понарина
Специалист младшего и дошкольного образования
Источник









